COVID-19 requiere tratar varias imágenes médicas que son necesarias para tratar a todos los pacientes en las unidades de cuidados intensivos y no sólo.
NextCloud impulsa BondiShare y una comunidad de código abierto relativamente grande es capaz de crear nuevas aplicaciones.
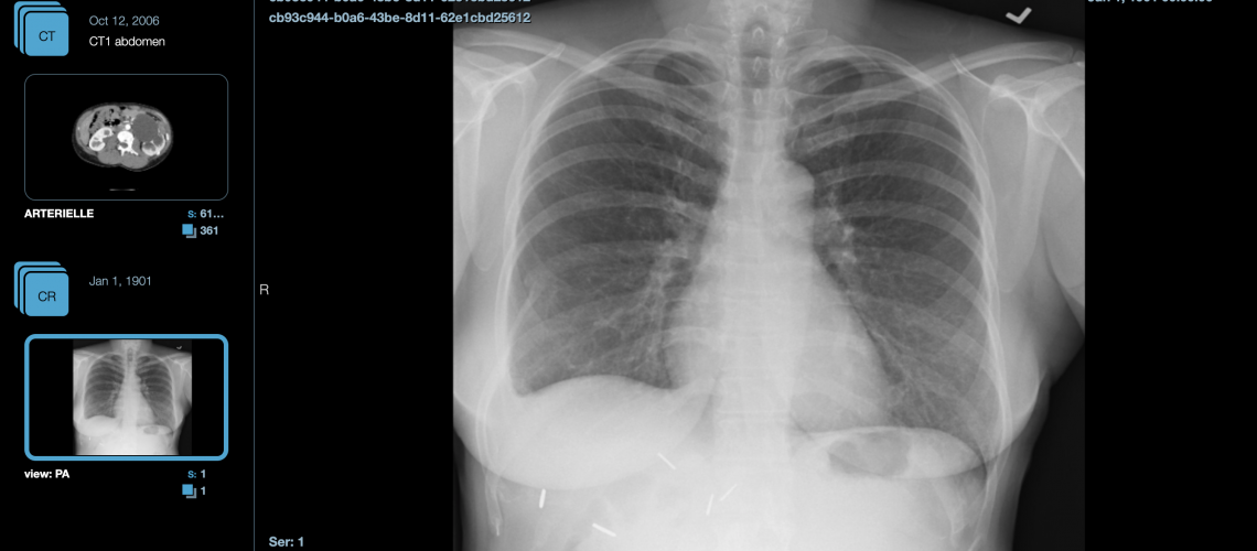
Aysel Afsar consiguió crear una aplicación mágica: el visor DICOM. En un momento tan aterrador, el visor DICOM contribuye, de forma sencilla, rápida y eficiente, como una herramienta de diagnóstico precoz e informe de exámenes de neumonía viral compatible con COVID-19 en varias regiones del mundo.
Permite a las organizaciones de salud ver imágenes DICOM, usando hardware de venta libre, el Hub NextCloud de código abierto y administrado, como nuestro BondiShare.
El estándar DICOM cubre
- los formatos para el almacenamiento de imágenes médicas digitales y datos digitales relacionados. El principal objetivo de permitir la interoperabilidad entre los dispositivos y sistemas de información que se ocupan de las imágenes médicas digitales
- los protocolos que se adoptarán para poner en marcha pocos servicios de comunicación que sean útiles en el flujo de trabajo de las imágenes médicas.
BondiShare y el visor DICOM permiten almacenar, recuperar, procesarfácilmente, y mostrando información de imágenes médicas. Nuestra plataforma controla los derechos de acceso a cualquier carpeta/archivo específico, tiene potentes etiquetas y servicio de flujo de trabajo, y ofrecemos copias de seguridad automatizadas, con un alto control de ciberseguridad y cumplimiento de la GDPR.
Es una solución simple y rentable para cualquier unidad de atención médica pequeña o mediana.
Mantente a salvo, mantente bien.
